Nowadays, many people are affected by gum disease, but it often remains unnoticed in the early stages. If left untreated, it can lead to serious oral health problems, including tooth loss.
Are you in Fremont, CA, and noticing any signs of gum discomfort? You should act quickly. This is because gum disease typically begins with mild symptoms but can progress to periodontitis.
Early detection and proper periodontal care in Fremont can make a significant difference in protecting oral health. In this article, we discuss the early signs of periodontal disease, how to identify them, and how periodontal therapy can prevent further damage.
Early Signs of Gum Disease

Gum disease does not happen overnight, and the signs typically develop slowly. The first stage of gum disease is mild and known as gingivitis. At this stage, gum inflammation occurs, but it is still reversible with proper care. The following are the early signs of gum disease you can watch for:
1. Bleeding Gums
The most common early symptom of periodontal disease in many patients is bleeding gums. When you see blood on your toothbrush or when you floss, it is a sign of gingivitis. Bleeding gums can also happen due to gum inflammation caused by plaque buildup in the gum line.
While it is not always painful, you should never ignore bleeding gums. A visit to a Fremont dentist or periodontist Fremont, CA can help you cope with this condition before it gets worse.
2. Swollen Gums
Swollen gums show that something is not right. If your gums are redder than usual, feel tender, or appear puffier around your teeth, you have a gum infection. Inflammation occurs as the body tries to fight against bacteria. Swollen gums often bleed, and both symptoms are common in early-stage gingivitis.
3. Bad Breath (Halitosis)
Persistent bad breath, also known as halitosis, is a sign of gum disease. The bacteria that thrive in the spaces between your teeth and gums produce sulfur compounds that give you foul-smelling breath.
If you feel your breath still doesn’t smell fresh even after brushing, it is a sign that gum disease is developing. A periodontist Fremont, CA can identify the cause and design a treatment plan.
4. Receding Gums
Receding gums are a symptom of gum disease. As the bacteria in your mouth break down the tissue around your teeth, your gums will start to pull away. It can expose your tooth surface and the roots of your teeth.
Such gums can make your teeth look longer and increase tooth sensitivity. With gum disease prevention Fremont, slow or stop gum recession is done through professional care.
How Periodontal Care Helps in Treating Gum Disease?
When you feel any of the above signs of gum disease, you must seek professional care. A periodontist Fremont, CA, is an expert in treating more advanced stages of gum disease and provides the necessary treatments to prevent the condition from worsening.
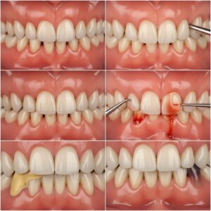
Scaling and Root Planing
Scaling and root planing is the most common procedure for gum disease. This non-surgical treatment involves thoroughly cleaning the teeth and gums to remove plaque and tartar buildup. The dentist or periodontist will scale the surface of your teeth to remove plaque beneath the gum line and smooth the root surfaces. So, it becomes harder for bacteria to stick to them. This process reduces gum inflammation and promotes healing.
Professional Gum Cleaning
Professional gum cleaning is a more extensive treatment than regular at-home brushing and flossing. While daily oral hygiene is important for preventing gum disease, a professional dental cleaning by a dentist in Fremont ensures that every part of your teeth and gums is properly cleaned.
A cleaning session removes hardened plaque (tartar) that regular brushing cannot remove. Regular cleanings play a central role in the maintenance of healthy gums and in preventing future issues.
Periodontal Therapy
For more advanced types of gum disease, periodontal therapy is a good option. It is a specialized treatment that targets deep gum pockets and infection. It also involves additional treatments, such as laser therapy or antimicrobial agents, to fight the bacteria causing the infection. A periodontist in Fremont, CA, is highly trained to provide high-quality care and can restore your gum health and help prevent further tooth issues and decrease the risk of dental implant.
Gum Disease Prevention in Fremont, CA
The best way to keep yourself safe from the complications of gum disease is to take preventive measures. With the right habits and periodontal care Fremont, your gums and teeth will remain in good condition. You should follow some simple tips to stay away from gum disease:
Tip 1: Maintain Good Oral Hygiene
Proper oral hygiene is vital for gum disease prevention Fremont. Brushing your teeth at least twice a day and flossing daily helps prevent plaque buildup on your teeth and gums. You should use a soft-bristle toothbrush and fluoride toothpaste to prevent further damage to your gums. Furthermore, make sure to replace your toothbrush every 3 to 4 months.
Tip 2: Regular Dental Visits
The maintenance of your oral health is possible only when you visit your dentist regularly. Through routine checkups, your dentist will spot any early signs of gum disease before they become serious. Regular visits also make sure that professional cleanings are done to keep your gums healthy.
Tip 3: Avoid Smoking and Tobacco Products
Smoking and using tobacco products increase your risk of gum disease and reduce your teeth whitening. Tobacco can weaken your immune system. So, your body will not be able to fight gum infections. Quitting smoking can highly improve your oral health and lower your chances of gum disease.
Tip 4: Eat a Balanced Diet
A healthy diet supports your overall health and also has a positive impact on your oral health. Eating more fruits and vegetables strengthens your immune system and keeps your gums healthy. You should also avoid sugary foods and drinks, as they can also reduce plaque buildup.
Tip 5: Stay Hydrated
Drinking plenty of water throughout the day helps wash away food particles and bacteria that may contribute to gum infection. Also, staying hydrated increases saliva production, which is essential for maintaining healthy gums and teeth.

When to See a Periodontist in Fremont, CA
If you notice signs of gum disease, schedule an appointment with a periodontist in Fremont, CA. They will evaluate the severity of your condition and recommend the proper treatment. Whether it is scaling and root planing or periodontal therapy, your periodontist helps you get healthy, beautiful gums.
Book Now and protect your gums. Whether you are dealing with bleeding gums or need gum treatment near me, our experienced Fremont dentists are always here to help you every step of the way.
Why Choose a Norcal Dental Group?
Norcal Dental Group offers exceptional dental care in a relaxing atmosphere. Our skilled team provides compassionate, tailored attention, using the latest advancements for precise diagnoses and effective treatments. Your comfort is our priority, so we take the time to explain your options clearly.
Our traditional and modern ways will help you achieve a stunning smile. Our approachable team welcomes patients of all ages, making us an excellent choice for families and individuals seeking outstanding dental care.
Final Thoughts!
Gum disease is a serious condition, but when detected early and properly cared for, it can be prevented from advancing. Be on the lookout for early symptoms such as swollen gums, bleeding gums, and bad breath. If you are in Fremont, CA, and experiencing these symptoms, you can consult a NorCal Dental periodontist. With the right treatments and regular oral hygiene in Fremont, you can extend the lifespan of your gums and teeth in the years ahead. Don’t wait, and schedule a consultation with us today to take control of your gum health.

